Welcome
Dental Cooperative Members!

Becden is an official lab partner of
Dental Cooperative. For more information, please call 888.344.9991.

Join today and get 30% OFF your first 2 cases!

Join today

Why MicroDental.

Our focus is to consistently fabricate high-quality dental restorations that combine artistic craftsmanship and the latest digital technology. We invite you to learn more about what makes MicroDental different.

Full-Service Capabilities

Complimentary Case Planning

Expertise in Complex Cases

Dedicated Customer Experience Representative

Dedicated Technical & Digital Support

 

MicroDental Difference.

Our mission is to consistently achieve natural esthetics and optimal performance with every restoration. Our exceptional team and digital services provide clinicians with remarkable accuracy, an efficient and simplified workflow, and predictable results, leading to world-class esthetics.

Quick Restorative Product Guide

Access our restorative portfolio including fixed, removable, implant restorations, orthotics, aligners, and sleep devices.

Click here to learn more.

MicroDental All-on-X

MicroDental’s All-on-X is a digitally prosthetically driven process that achieves optimal workflow efficiencies and accuracy.

Click here to learn more.

MicroDental Ivotion Dentures

A monolithic solution designed and milled with digital accuracy and superior in all aspects of form, fit, and functional occlusion.

Click here to learn more.

MicroDental Digital Splints

MicroDental’s line of digital orthotics includes occlusal devices for TMD syndrome patients & nightguards for treating bruxism.

Click here to learn more.

MicroDental e.max®

When esthetics can't be compromised, MicroDental e.max offers remarkable translucency, versatility, and clinically-proven strength.

Click here to learn more.

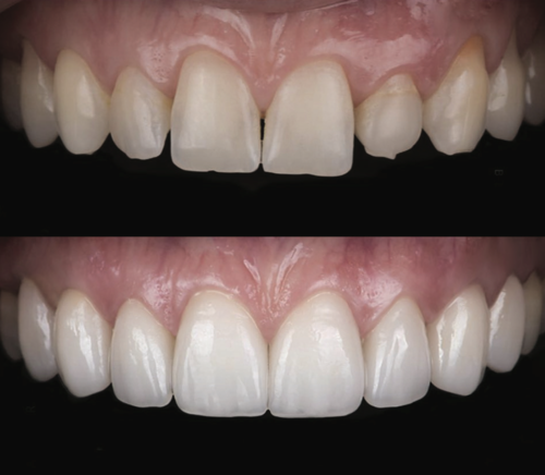
MicroDental Cosmetic Restorations

Advanced smile design, life-like esthetics, and expert case planning.

Click here to learn more.

 

Complete the form to receive your starter kit & to use your benefits.